오산 치아 착색 스케일링만으로 제거 가능할까?

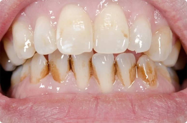
오산 치아 착색 스케일링만으로 제거 가능할까? 안녕하세요. 서울버팀치과 엄용국 원장입니다. 스케일링을 받았는데도 착색이 그대로 남아 있는 이유는 무엇일까요? 치아가 변색되는 것이 아니라 표면에 착색이 생기는 원인은 여러 가지가 있습니다. 대표적으로...
오산 치아 착색2

로그인