오산 재신경치료 이미 치료한 치아의 통증, 기둥이 세워진 경우

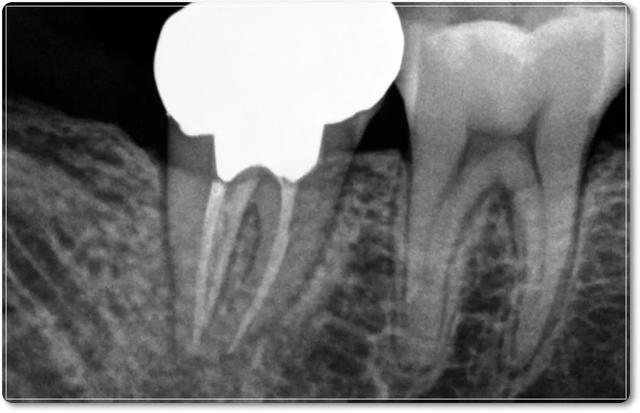
오산 재신경치료 이미 치료한 치아의 통증, 기둥이 세워진 경우 안녕하세요. 서울버팀치과 엄용국 원장입니다. 오늘은 한 환자분의 사례를 소개해 보려고 합니다. 신경치료를 받았던 치아에 다시 증상이 나타나 내원하신 경우였는데요. 신경치료가 끝난...
오산 재신경치료_2

오산 재신경치료, 다른 치과에서 받았는데 계속 아프다면

오산 재신경치료, 다른 치과에서 받았는데 계속 아프다면 안녕하세요. 오산 서울버팀치과 엄용국 원장입니다. “타 치과에서 신경치료를 받고 있습니다. 5~6번 정도 치료를 받았는데 아직도 가만히 있어도 아프고 불편합니다. 다른 치과에서 다시 진료를...
오산 재신경치료4

로그인