오산 오산동 치과 추천, 스케일링 왜 꾸준히 해야 할까

오산 오산동 치과 추천, 스케일링 왜 꾸준히 해야 할까   치아는 매일 관리하고 있다고 생각하기 쉽지만, 실제로는 눈에 보이지 않는 부분에서 관리의 차이가 발생하는 경우가 많습니다. 특히 치아 사이와 잇몸 경계에는 양치만으로 제거하기 어려운 요소들이 남을 수 있습니다. 이러한 부분이 반복적으로 쌓이면 구강 환경에 영향을 줄 수 있어 주기적인 관리가 중요해집니다. 오산 오산동 치과 추천을 고려할 때에도 단순한 치료보다 예방 중심의 관리가 이루어지는지 확인하는 것이 필요합니다.     1.  스케일링은 어떤 역할을 할까 스케일링은 치아에 붙어 있는 단단한 침착물과 세균을 정리해주는 과정으로, 평소 관리로 부족했던 부분을 보완하는 역할을 합니다. 단순히 겉을 깨끗하게 만드는 것이 아니라 구강 환경을 정리하는 데 의미가 있습니다. 오산 오산동 치과 추천 시에도 이러한 기본 관리가 체계적으로 이루어지는지 확인하는 것이 중요합니다. 구강 환경 정리: 치아 주변에 남아 있는 세균과 침착물을 제거해 보다 깔끔한 상태를 유지하는 데 도움이 됩니다. 관리 사각지대 보완: 칫솔이 닿기 어려운 부위를 정리해주는 역할을 합니다. 잇몸 자극 감소: 불필요한 자극 요소를 줄여 보다 안정적인 상태를 유지할 수 있습니다.     2. 눈에 보이지 않는 부분에서 시작되는 변화 구강 문제는 겉으로 드러나기 전부터 서서히 진행되는 경우가 많습니다. 특히 치아 사이와 잇몸 안쪽은 직접 확인하기 어려워 관리가 늦어질 수 있습니다. 오산 오산동 치과 추천을 고려할 때에도 이러한 보이지 않는 변화를 확인하는 과정이 중요합니다. 미세한 침착물 축적: 눈에 잘 띄지 않지만 점차 쌓이면서 상태에 영향을 줄 수 있습니다. 잇몸 주변 변화: 작은 자극이 반복되면서 잇몸 상태가 달라질 수 있습니다. 구강 환경 불균형: 특정 부위에 관리가 부족해지면 전체적인 균형이 흐트러질 수 있습니다.     3. 스케일링 주기, 왜 일정해야 할까...
오산동치과0

오산 궐동 치과 추천, 초기에는 몰랐던 잇몸 염증 관리 방법

오산 궐동 치과 추천, 초기에는 몰랐던 잇몸 염증 관리 방법     잇몸 건강은 단순히 치아를 유지하는 것을 넘어 전반적인 구강 상태와 밀접하게 연결됩니다. 초기에는 통증이 크지 않아 대수롭지 않게 넘기기 쉽지만, 시간이 지나면서 다양한 문제로 이어질 수 있습니다. 특히 사소한 증상이 반복될 경우 잇몸 상태가 점차 악화될 수 있어 주의가 필요합니다. 오늘은 오산 궐동 치과 추천을 고려할 때 참고할 수 있는 잇몸 변화와 효과적인 관리 방법을 살펴보겠습니다.   1. 서서히 진행되는 잇몸 변화에 주의해야 합니다. 잇몸 질환은 갑작스럽기보다 점진적으로 진행되는 경우가 많습니다. 초기에는 불편함이...
오산궐동치과00

오산교정치과 선택 전 필수 체크리스트

오산교정치과 선택 전 필수 체크리스트 안녕하세요. 오산교정치과 선택 전 어떠한 부분들을 확인하시나요? 오늘은 교정치료를 하기 전에 알아보면 좋은 부분에 대해서 살펴볼텐데요 가장 먼저 보건복지부 인증 ‘전문의’ 상주 여부를 확인하세요! 교정...
08

오산 재신경치료 이미 치료한 치아의 통증, 기둥이 세워진 경우

오산 재신경치료 이미 치료한 치아의 통증, 기둥이 세워진 경우 안녕하세요. 서울버팀치과 엄용국 원장입니다. 오늘은 한 환자분의 사례를 소개해 보려고 합니다. 신경치료를 받았던 치아에 다시 증상이 나타나 내원하신 경우였는데요. 신경치료가 끝난...
오산 재신경치료_2

오산 임플란트 흔들림, 빠져버린 상황에는

오산 임플란트 흔들림, 빠져버린 상황에는 안녕하세요. 서울버팀치과 엄용국 원장입니다. 임플란트가 흔들리는 느낌이 있었는데 결국 빠져버렸다고 말씀하며 내원하신 경우도 있습니다. 오산에서 임플란트 흔들림이 느껴지는 분들이라면 가능한 한 빠르게 병원을 찾아 확인을...
오산 임플란트 흔들림2

오산 잇몸패임, 치아가 시릴때 치료받기 위해

오산 잇몸패임, 치아가 시릴때 치료받기 위해 안녕하세요. 서울버팀치과 엄용국 원장입니다. 환자분들을 정기적으로 추적 관찰하다 보면 제가 진행했던 치료가 잘 유지되고 있는지 확인하게 되고, 때로는 스스로 반성하기도 하고 만족을 느끼기도 합니다....
오산 잇몸패임2

오산 재신경치료, 다른 치과에서 받았는데 계속 아프다면

오산 재신경치료, 다른 치과에서 받았는데 계속 아프다면 안녕하세요. 오산 서울버팀치과 엄용국 원장입니다. “타 치과에서 신경치료를 받고 있습니다. 5~6번 정도 치료를 받았는데 아직도 가만히 있어도 아프고 불편합니다. 다른 치과에서 다시 진료를...
오산 재신경치료4

오산 잇몸치료 잇몸 부었을때 어떻게 하나요?

오산 잇몸치료 잇몸 부었을때 어떻게 하나요?   안녕하세요. 서울버팀치과 엄용국 원장입니다. 치아 자체에는 특별한 문제가 없어 보이는데 잇몸이 붓는 경우도 있습니다. 이럴 때는 정확한 진단을 위해 의사의 경험과 엑스레이 검사...
오산 잇몸치료2

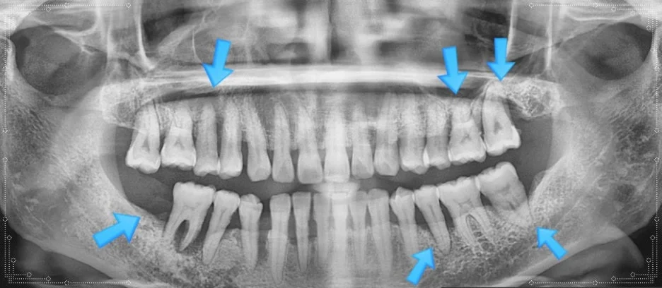
오산 치아진단 엑스레이 얼마나 꼼꼼히 하느냐가 중요합니다.

오산 치아진단 엑스레이 얼마나 꼼꼼히 하느냐가 중요합니다. 안녕하세요 서울버팀치과 엄용국원장입니다. “치과에 방문해 치료를 받았습니다.” 하지만 치과에서 치료를 받았다는 사실만으로 항상 적절한 치료가 이루어졌다고 단정하기는 어렵습니다. 정확한 진단을 위해서는 엑스레이 촬영...
오산 치아진단 엑스레이5

오산 재교정 부분교정 : 투명교정으로 간단하게 진행하세요

오산 재교정 부분교정 : 투명교정으로 간단하게 진행하세요 안녕하세요. 서울버팀치과 엄용국원장입니다. 오늘은 투명교정에 대해 간단히 말씀드려 보려고 합니다. 최근 들어 인비절라인과 같은 투명교정을 문의하거나 희망하는 환자분들이 점점 늘어나는 추세입니다. 일반적인 브라켓...
오산 재교정 부분교정 투명교정_2

로그인